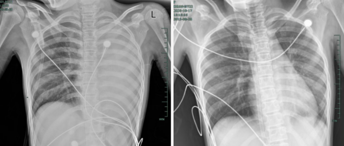
感冒、咳嗽似乎在孩子们中很常见,但12岁女孩晓晓(化名)的经历却让人心惊胆战。仅发烧一天,他的左肺就变成了“白肺”。他呼吸急促,无法躺下,血氧饱和度勉强维持在90%左右。情况非常危急!治疗前,左肺处于“白肺”状态;治疗后,“白肺”被吸收,心脏边缘清晰可见。在浙江大学第四医院儿科多学科团队的努力下,晓晓转危为安。然而,这场来势汹汹的突发事件背后却隐藏着一种很容易被忽视的慢性、严重的呼吸道疾病——塑性支气管炎。感冒咳嗽变成“白肺”的风险就隐藏在粘液里。晓晓开始出现轻微咳嗽,发烧38℃。到外医院检查显示肺炎、肺不张。当他还是变性人的时候转至浙江大学第四医院儿科后,病情急剧恶化。入院后很快出现气短、胸闷、胸痛,体温38.5℃,只能依靠5L/min面罩吸氧维持血氧。胸部X光检查显示,左肺已完全变成“白肺”,肺部炎症进展迅速。儿科副主任医师余琳根据经验判断,潇潇很可能患的是“塑料性支气管炎”。它是肺部感染的严重肺内并发症。各种原因引起的支气管异物内源性障碍,可导致支气管阻塞、通气和气体交换功能障碍。主要症状是呼吸困难、喘息、胸痛和发烧。严重时会导致危及生命的呼吸和循环衰竭。 “危险的事情是疾病是气道会被大量果冻状的粘液塞和支气管成型物堵塞,就像呼吸道被“水泥”封住一样。氧气进不去,二氧化碳出不去,痛苦随时可能发生。”多学科团队齐心协力,为支气管镜“保驾护航”,打通生命通道。由于晓晓血氧不稳定,耐缺氧能力差,手术风险很高,随时可能需要气管插管和通气呼吸机辅助。医院立即开始多学科协作,儿科、重症医学科、儿科、重症医学科呼吸与危重症护理部和麻醉科共同制定方案,最终决定进行紧急支气管镜手术。手术过程中,支气管镜一进入气道,他就看到了令人不安的一幕:气道粘膜充血,水肿,大量黄白色粘痰不断涌出,左主支气管和各肺段开口全部被粘液塞堵塞。医疗团队争分夺秒,采用负压吸引、灌洗、夹闭等技术,清除堵塞物。 “如果玻璃管被粘稠的分泌物堵住了,就拉出来清除,然后再插入。如果病人耐缺氧能力差,要及时加压、给氧……”于琳副主任医师说,经过反复操作,堵塞的呼吸道终于被打通了。手术后第二天,晓晓的呼吸困难、胸痛症状得到很大改善,病情初步得到控制。她被成功拉出“鬼门关”,转回普通儿科病房继续治疗。后续检查显示,他的感染原因是高毒力的铜绿假单胞菌。osa,通常发生在免疫功能低下的人身上。经过精准抗感染、希望、抗炎等一系列治疗,孩子逐渐恢复健康,顺利出院。幸运的是,潇潇的“白肺”通常都被吸收并恢复正常,没有留下任何严重的并发症。如果您的孩子出现这些症状,请注意不要拖延,尽快就医!于林医生介绍,塑性支气管炎是儿童时期危险的呼吸道急症。它常见于2至12岁的儿童,通常由病毒或细菌感染引起,例如流感病毒、肺炎支原体和腺病毒。其特点是起病隐匿、进展快、易误诊、漏诊。如果不及时治疗,会留下闭塞性细支气管炎、支气管扩张等后遗症,严重时可危及生命。家长一定要警惕这些症状:如果孩子感冒咳嗽后出现持续发烧、喘息加剧、气短、胸闷、胸痛,或者胸部X光或CT显示“肺不张”、“肺实变”,特别是症状在短时间内迅速恶化,应立即就医,不要像普通感冒一样拖延。目前,通过支气管镜直接取出气道内的塑料异物是最直接有效的治疗方法。支气管镜检查不仅可以直接观察气道情况并获取标本以确定病因,还可以通过灌洗、夹闭等方式清除分泌物,有助于控制感染、缩短病程等。从上到下,有支气管镜取的三个模具。第三次霉菌明显减少,灌洗液更清澈比以前。医生提醒,孩子的呼吸道娇嫩,看似普通的感冒也可能有危险。家长要牢记这些早期预警信号,只有早发现、早干预,才能保护孩子的健康。 (城市互动·城市快报)
感冒、咳嗽似乎在孩子们中很常见,但12岁女孩晓晓(化名)的经历却让人心惊胆战。仅发烧一天,他的左肺就变成了“白肺”。他呼吸急促,无法躺下,血氧饱和度勉强维持在90%左右。情况非常危急!治疗前,左肺处于“白肺”状态;治疗后,“白肺”被吸收,心脏边缘清晰可见。在浙江大学第四医院儿科多学科团队的努力下,晓晓转危为安。然而,这场来势汹汹的突发事件背后却隐藏着一种很容易被忽视的慢性、严重的呼吸道疾病——塑性支气管炎。感冒咳嗽变成“白肺”的风险就隐藏在粘液里。晓晓开始出现轻微咳嗽,发烧38℃。到外医院检查显示肺炎、肺不张。当他还是变性人的时候转至浙江大学第四医院儿科后,病情急剧恶化。入院后很快出现气短、胸闷、胸痛,体温38.5℃,只能依靠5L/min面罩吸氧维持血氧。胸部X光检查显示,左肺已完全变成“白肺”,肺部炎症进展迅速。儿科副主任医师余琳根据经验判断,潇潇很可能患的是“塑料性支气管炎”。它是肺部感染的严重肺内并发症。各种原因引起的支气管异物内源性障碍,可导致支气管阻塞、通气和气体交换功能障碍。主要症状是呼吸困难、喘息、胸痛和发烧。严重时会导致危及生命的呼吸和循环衰竭。 “危险的事情是疾病是气道会被大量果冻状的粘液塞和支气管成型物堵塞,就像呼吸道被“水泥”封住一样。氧气进不去,二氧化碳出不去,痛苦随时可能发生。”多学科团队齐心协力,为支气管镜“保驾护航”,打通生命通道。由于晓晓血氧不稳定,耐缺氧能力差,手术风险很高,随时可能需要气管插管和通气呼吸机辅助。医院立即开始多学科协作,儿科、重症医学科、儿科、重症医学科呼吸与危重症护理部和麻醉科共同制定方案,最终决定进行紧急支气管镜手术。手术过程中,支气管镜一进入气道,他就看到了令人不安的一幕:气道粘膜充血,水肿,大量黄白色粘痰不断涌出,左主支气管和各肺段开口全部被粘液塞堵塞。医疗团队争分夺秒,采用负压吸引、灌洗、夹闭等技术,清除堵塞物。 “如果玻璃管被粘稠的分泌物堵住了,就拉出来清除,然后再插入。如果病人耐缺氧能力差,要及时加压、给氧……”于琳副主任医师说,经过反复操作,堵塞的呼吸道终于被打通了。手术后第二天,晓晓的呼吸困难、胸痛症状得到很大改善,病情初步得到控制。她被成功拉出“鬼门关”,转回普通儿科病房继续治疗。后续检查显示,他的感染原因是高毒力的铜绿假单胞菌。osa,通常发生在免疫功能低下的人身上。经过精准抗感染、希望、抗炎等一系列治疗,孩子逐渐恢复健康,顺利出院。幸运的是,潇潇的“白肺”通常都被吸收并恢复正常,没有留下任何严重的并发症。如果您的孩子出现这些症状,请注意不要拖延,尽快就医!于林医生介绍,塑性支气管炎是儿童时期危险的呼吸道急症。它常见于2至12岁的儿童,通常由病毒或细菌感染引起,例如流感病毒、肺炎支原体和腺病毒。其特点是起病隐匿、进展快、易误诊、漏诊。如果不及时治疗,会留下闭塞性细支气管炎、支气管扩张等后遗症,严重时可危及生命。家长一定要警惕这些症状:如果孩子感冒咳嗽后出现持续发烧、喘息加剧、气短、胸闷、胸痛,或者胸部X光或CT显示“肺不张”、“肺实变”,特别是症状在短时间内迅速恶化,应立即就医,不要像普通感冒一样拖延。目前,通过支气管镜直接取出气道内的塑料异物是最直接有效的治疗方法。支气管镜检查不仅可以直接观察气道情况并获取标本以确定病因,还可以通过灌洗、夹闭等方式清除分泌物,有助于控制感染、缩短病程等。从上到下,有支气管镜取的三个模具。第三次霉菌明显减少,灌洗液更清澈比以前。医生提醒,孩子的呼吸道娇嫩,看似普通的感冒也可能有危险。家长要牢记这些早期预警信号,只有早发现、早干预,才能保护孩子的健康。 (城市互动·城市快报)